Konzervativna stomatologija
Konzervativna stomatologija je deo stomatologije koji se bavi lečenjem oštećenih zuba. Ona obuhvata veliki spektar intervencija koje stomatolozi Stomatološke klinike Dr Veselinović svakodnevno primenjuju.
Šta sve leči konzervativna stomatologija?
Najčešća oboljenja zbog kojih se pacijenti obraćaju stomatologu jesu oštećenja tvrdih tkiva zuba:
- karijes;
- fraktura;
- erozija;
- upala zubnog živca i dr.
Konzervativna stomatologija podrazumeva primenu sledećih metoda:
Zahvaljujući najnovijim tehnologijama, na Stomatološkoj klinici Dr Veselinović podjednako vodimo računa kako o funkciji, tako i o estetici zubnog fundamenta.
U tom cilju, koristimo najkvalitetnije materijale eminentnih proizvođača.
Podoblasti konzervativne stomatologije
Konzervativna stomatologija se deli na:
Restaurativna stomatologija
Restaurativna stomatologija se bavi nadoknadom zubnog tkiva.
Uzroci koji dovode do gubitka zubnog tkiva različiti su i narušavaju estetiku i funkciju zuba. Savremena stomatologija nastoji da sačuva što veći deo zdravog tkiva i zubu vrati prvobitni oblik.
U tom smeru se razvijaju nove metode, materijali, instrumenti i aparati. Udruženi, oni pomažu u izboru odgovarajuće terapije i postizanju njenog kvaliteta i dugotrajnosti.
Koje sve intervencije spadaju u restaurativnu stomatologiju?
Lečenje karijesa
Karijes je najčešće oboljenje zuba koje dovodi do razaranja tvrdih tkiva zuba. Nastaje usled taloženja bakterija dentalnog plaka.
Većina ljudi se susrela bar jednom sa ovim problemom, te zna koliko neprijatan on može biti.
U početku, karijes dovodi do preosetljivosti zuba na određene nadražaje: vruće, hladno, slatko. U kasnijim razvojnim fazama može biti uzrok oboljenja zubnog živca (pulpe). Ukoliko se ne leči, zasigurno dovodi do gubitka zuba.
Plombiranje zuba
Nakon kompletnog uklanjanja karijesa, treba nadomestiti nedostatak zubnog tkiva. To se postiže plombiranjem zuba.
Napominjemo da smo u izradi estetskih plombi sa istom pažnjom usmereni prema prednjim i prema bočnim zubima. Naša veština u izradi plombi ostvariva je zahvaljujući kompozitnom materijalu nano-tehnologije vrhunskih inostranih proizvođača 3M ESPE, ULTRADENT, GC i SCHOFU.
Estetske plombe izrađujemo poštujući standarde dentalne morfologije, a sve u cilju postizanja prirodnog izgleda zuba.
Danas se za plombiranje najčešće upotrebljavaju bele kompozitne plombe. One su mnogo bolje po hemijskom sastavu od amalgamskih (crnih) plombi, koje sadrže živu.
Pored hemijskih, i fizičke karakteristike belih plombi su unapređene. To znači da postoji veliki izbor nijansi, pa je lako odabrati onu koja se uklapa u prirodni kolorit zuba. Na taj način se postiže izuzetno visok estetski efekat i vrlo pozitivan utisak. Iz prethodno navedenog se može zaključiti da je preporučljivo zameniti stare, crne plombe novim, belim.

Ono što ponekad izaziva zabrinutost jeste sporadična hipersenzitivnost zuba posle stavljanja nove plombe. Ova pojava je, srećom, prolaznog karaktera.
U slučaju da je plomba prilikom kontakta sa zubima suprotne vilice visoka, to se rešava brušenjem viška plombe. Ipak, ponekad su razlozi za bol ozbiljniji: velika blizina plombe zubnoj pulpi (živcu).
Bitno je da, u zavisnosti od uzroka, specijalisti Stomatološke klinike Dr Veselinović pristupaju različitim metodama i tehnikama kako bi otklonili dati problem.
Enodonsko lečenje zuba
Endodonsko lečenje zuba se odnosi na tretiranje kanala korena zuba koji je zahvaćen infekcijom. Do infekcije kanala korena zuba može doći iz više razloga. To su:
- nesanirani karijes;
- ponavljane intervencije na zubu;
- postojanje parodontalnih džepova;
- komplikacije nakon traume (povrede) zuba.
Infekcije nastale u kanalu zubnog korena se šire dalje u viličnu kost i meka tkiva, što dovodi do bola, otoka i drugih stanja koja prate inflamaciju. Lečenje korenskog kanala ili više njih (kod višekorenih zuba) podrazumeva uklanjanje pulpe i mehaničko čišćenje patogenih mikroorganizama. Nakon čišćenja i ispiranja, kanal se ispunjava specijalnim pastama i enododontskim kočićima od fiber-glasa kako bi prostor unutar zuba ostao hermetički zatvoren, a zubni koren bio stabilan.
Tako se otklanja mogućnost ponovnog stvaranja upalnih procesa. Lečenje korenskog kanala uz vađenje zubnog živca spada u grupu najmanje popularnih stomatoloških intervencija zbog predubeđenja da je u pitanju bolna intervencija. Međutim, pacijenti ne treba da se plaše. Endodontska terapija se obavlja u lokalnoj anesteziji i pacijenti svoje iskustvo opisuju kao i ono pri plombiranju zuba.
Konzervativna nadogradnja zuba
Uspešnost endodontskog lečenja zuba zavisi od morfologije samih zuba, ali i od stepena inflamatornog procesa. Bočni zubi zahtevaju veću angažovanost zbog toga što imaju više isprepletanih zubnih kanala koji se račvaju i koji su često neprohodni. Ekstenzija ili ojačanje izlečenih zuba potrebno je posle lečenja kanala korena jer bi u suprotnom došlo do pucanja (frakture) zuba.
Zbog sprovođenja kanalne terapije i formiranja pristupnog kvaliteta smanjuje se i jačina preostale krunice zuba. Često je potrebno pojačanje krunice i korena postavljanjem kočića u kanal korena zuba.
Pri tome se potencijalna tačka frakture zuba udaljava od gingivalne margine zuba ka vrhu korena, što smanjuje mogućnost frakture.
Nakon postavljanja kočića, rekonstrukcija krunice može biti intrakoronarna / Inlay tip/ i ekstrakoronarna / Krunica. Postavljanje ekstrakoronarne restauracije jako smanjuje stresove i produžava vek zuba.
Velika pažnja je potrebna pri preparaciji šupljine za kočić. Ona mora da prati oblik i pravac kanala korena, ne sme da ide bočno niti da ošteti punjenje apikalnog dela korena.
Zahtevi pri rekonstrukciji avitalnih zuba su:
- dugotrajno očuvanje preostalog korena;
- jednostavno postavljanje;
- otpornost na mastikatorne stresove;
- kompatibilnost kočića sa drugim restaurativnim materijalima.
Vrste kočića
Pulparni kočić predstavlja intraradikularnu restauraciju devitaliziranog („mrtvog“) zuba i zavisi od jačine i integriteta preostale zubne supstance koja ga retinira na mestu postavljanja.
Za restauraciju endodonski lečenih zuba, koriste se:
- livene nadogradnje;
- fabrički metalni kočići;
- fiberglas kočići;
Livene nadogradnje se ne upotrebljavaju tako često kao ranije jer je utvrđeno da liveni kočići, u odnosu na fabričke, prouzrokuju tri puta češće frakture korena. Osim toga, postoji i problem sa retencijom (stabilizovanjem) legure u kanalu.

Metalni kočići se koriste najviše u restauraciji bočnih višekorenih zuba pa čak i kod zuba koji imaju divergentne korenove. Lako se aplikuju i cementiraju.

Fiberglas kočići – najveća prednost ove vrste kočića je njihov modul elastičnosti sličan modulu elastičnosti dentina koji utiče na ravnomerniju distribuciju stresa na koren zuba. Imaju fizičke osobine slične dentinu; postižu maksimalnu retenciju sa malo uklanjanja dentina iz kanala korena; ne remete distribuciju opterećenja kroz zubne strukture; zadovoljavaju estetske zaheve i što je najbitnije lako se plasiraju u kanal korena i lako se cementiraju.

Parapulparni kočići su kočići koji se ugrađuju u vitalne zube (zube sa živcem) i mogu biti:
- metalni;
- karbonski.
Njihova funkcija je ojačanje oštećenog kruničnog dela zuba. Služe kao armatura za nadogradnju helio (belom) plombom. Mogu biti različitog dijametra i dužine.
Konzervativna stomatologija - Česta pitanja
1. Da li treba da zamenim crne plombe belim?
Da, specijalisti Stomatološke klinike Dr Veselinović su saglasni u tome da bi tu promenu trebalo učiniti, a obrazloženje je gore navedeno.
2. Da li je lečenje zuba bolno?
Odgovor na ovo pitanje je negativan. Da bismo otklonili eventualne nedoumice, naglašavamo da pod pojmom lečenja zuba podrazumevamo endodonsko lečenje zuba – vađenje (pulpe) živca i tretiranje kanala korena zuba.
Na našoj klinici se ova intervencija (kao i mnoge druge) obavlja pod lokalnom anestezijom, što je čini apsolutno bezbolnom i komfornom za pacijenta.
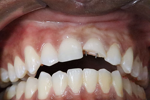
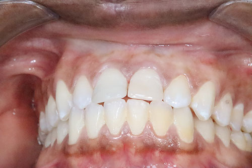
3. Pukla mi je cela krunica zuba. Da li taj zub moram da izvadim?
Zub kojem je pukla krunica, a ima zdrav koren (bez procesa – oboljenje vrha korena), treba apsolutno sačuvati.
U kakvom je stanju zub, možemo zaključiti tek na osnovu kliničkog i rendgenskog pregleda.
Ukoliko koren to zahteva, pristupa se lečenju. Izlečen koren može poslužiti kao temelj novoj nadogradnji i novoj keramičkoj ili kompozitnoj krunici.
4. Da li bela plomba može da izgleda kao prirodni zub?
Cilj svakog terapeuta koji modeluje plombu mora biti zadovoljenje morfoloških karakteristika zuba na kom se plomba izrađuje. Pravilno izmodelovan i tačno određen ispun odgovaraće svojim izgledom prirodnom, netaknutom zubu.
5. Uradio sam belu plombu na prednjem zubu, ali se pojavio crni trag ispod plombe. Šta da radim?
Kako bi bilo utvrđeno da li je u pitanju samo promena boje plombe ili se pak ispod nje razvio sekundarni (novi) karijes, pacijent mora doći na pregled na našu kliniku. Na osnovu dijagnoze, naši doktori će odrediti adekvatnu terapiju.
6. Lečio sam zub i postao je crn. Šta da radim?
Tokom endodontskog lečenja, iz zuba se uklanja pulpa (živac), zbog čega on postaje „mrtav“ zub.
S obzirom na to da više nema živca preko kojeg je snabdevan neophodnim nutrijentima, postoji mogućnost da takav zub promeni kolorit, odnosno da potamni.
Ukoliko se taj zub nalazi u prednjoj regiji ili je upadljiv, najjednostavnije je na prednjoj površini tog zuba postaviti kompozitnu fasetu.
Faseta (vinir / ljuspica) može se izraditi u samo jednoj poseti našoj ordinaciji.
Takođe, taj zub je moguće presvući keramičkom krunicom.
U određenim situacijama postoji mogućnost izbeljivanja same krunice zuba, čime se mogu postići jako dobri rezultati.
7. Tek sam stavio plombu, a vrlo brzo je pukao jedan deo. Šta se desilo?
Postoji više razloga zbog čega novi ispun može pući. Neki od njih su nepoštovanje forme otpora i forme retencije, nastanak prekomerne traume pri žvakanju i dr.
Ako se to desi, pacijent bi trebalo da što pre poseti našu ordinaciju kako bi problem bio saniran.
8. Boli me zub na hladno. Šta da radim?
U ovom slučaju neophodno je obratiti se našim stomatolozima koji će napraviti RTG snimak i klinički pregledati zub. Na osnovu ustanovljenog će zaključiti da li je uzrok bola povlačenje desni, parodontalni džep, karijes ili nešto drugo. U skladu sa dijagnozom, ordiniraće odgovarajuću terapiju.
9. Boli me zub kad žvaćem tvrdu hranu. Šta da učinim?
Ukoliko zub boli na pritisak, a bio je nedavno plombiran, prvo na šta se može posumnjati je previsoka, tj. neadekvatno uartikulisana plomba.
Ko što je gore pomenuto, to se vrlo jednostavno rešava: brušenjem viška plombe.
Drugi razlog može biti oboljenje zuba ili parodoncijuma (tkiva oko zuba). O kakvom problemu je reč, utvrdiće specijalisti Stomatološke klinike Dr Veselinović i preduzeti sve mere da dati problem otklone.



