Stomatološka protektika
Stomatološka protetika se bavi planiranjem i izradom protetskih nadoknada poštujući sledeće zahteve:
- funkcionalnost;
- otpornost;
- sigurnost;
 
- estetiku.
Stomatološka protetika je specijalistička oblast stomatologije koja, jednostavnim rečnikom kazano, omogućava povratak izgubljenih zuba.
Kod ove grane stomatologije, kvalitetna zubotehnička laboratorija, koja prati stomatologa i tesno sa njim sarađuje, od esencijalne je važnosti.
Kako dolazi do gubljenja zuba?
Do ekstrakcije zuba može doći kroz traumatsko izbijanje zuba iz alveolarne čašice (tuča, pad, nezgoda), kao i zbog parodontopatije i hroničnih infekcija u vilicama. Međutim, kod većine pacijenata do gubitka zuba dolazi usled dugo nelečenog dubokog karijesa.
Koje posledice ostavlja gubitak zuba i zašto je stomatološka protetika toliko bitna?
Gubitak zuba dovodi do različitih anatomskih i funkcionalnih poremećaja, ali i do estetskih promena na licu.
Nedostatak većeg broja zuba uzrok je skraćenja donjeg masiva lica, odnosno pomeranja kosti donje vilice.
Uz to, kost na mestu gde nedostaju zubi se resorbuje jer izostaje fiziološka stimulacija koju su nekada proizvodili zubi. Resorpcija ili nedostatak kosti kasnije će zahtevati nadogradnju (augmentaciju) kosti vilice radi ugradnje zubnih implanata.
Takođe, zubi koji se nalaze nasuprot mestu zuba koji nedostaje, počinju da migriraju jer više nema kontrasile koja njihovu poziciju održava stabilnom.
Pored ovih anatomskih problema, javlja se i niz poteškoća sa žvakanjem i varenjem hrane.
Srećom, stomatološka protetika omogućava bezubim osobama da, uz pomoć različitih dentalnih nadoknada, povrate zdravlje, samopouzdanje i ponovo se široko osmehuju.
Koje vrste protetskih nadoknada obuhvata stomatološka protetika?
Stomatološka protetika se deli na fiksnu i mobilnu i predviđa primenu sledećih protetskih nadoknada:
- 
- krunica;
- inlay, onlay i overlay-a;
- faseta (vinira);
 
- implanata;
- mostova;
- proteza.
 
Fiksna stomatološka protetika
Fiksna stomatološka protetika obuhvata fiksne radove koji su trajno cementirani ili šrafljeni u ustima, te ih pacijent ne može sam skidati. Bavi se izradom krunica i mostova, nadogradnji, inlay-a, onlay-a i drugih zubnih nadoknada koje se permanentno fiksiraju u ustima pacijenata.
Kojom nadoknadom će biti ostvarena protetska rehabilitacija vilica zavisi od mnogo faktora.
To mogu biti:
- 
- smanjena zapremina kosti vilice;
- stanje donjoviličnog nerva;
- parodontopatija;
 
- traume vilica;
- ciste vilica;
- tumori vilica;
- druga oboljenja vilica i zuba.
 
Na osnovu kliničkog pregleda specijaliste protetike, oralne hirurgije i implantologije, odnosno ortopedije vilica, anamneze i snimaka zuba i vilica (RTG, CT, CBCT), određuje se i najefikasniji način protetske terapije.
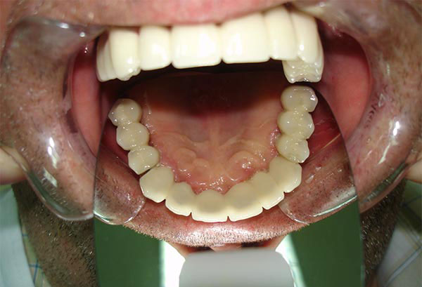
Krunice – Metalokermičke i bezmetalne (keramičke)
U stomatološkoj praksi se koristi više tipova kruna za zube i zubne mostove, ali osnovna njihova podela je na:
- 
- metalokeramičke;
- bezmetalne (keramičke).
 

Metalokeramičke krunice su izrađene od legura biokompatibilnih metala, a površinski sloj čini keramika, odnosno porcelan.
Koriste se kao kompletan ili delimičan fiksni protetski rad (cirkularni most), zatim kod kombinovanih protetskih radova (kao podrška mobilnim protezama) i u implanto-protetici.
Bezmetalne krunice ili cirkon-krunice su danas sve popularnije. Najpre, to je zato što je rub bezmetalne krunice izuzetno precizno formiran jer se pri njihovoj izradi primenjuje tehnologija kompjuterskog skeniranja i izrađivanja cirkonske baze. To pruža visoku tačnost i preciznost ivice krune, pa se ostvaruje savršen kontakt između nje i desni.
Takođe, materijal od kog je sačinjena krunica je biokompatibilan i ne izaziva iritaciju zubnog tkiva. Savremena tehnika proizvodnje omogućava visoku poliranost bez mikropukotina, što sprečava stvaranje zubnog plaka.
Cirkon-keramičke krunice stoga biraju pacijenti koji teže vrhunskom kvalitetu i estetici.
Gde postoje uslovi, krunice se postavljaju na postojeće brušene zube. Međutim, u slučaju bezubosti, nameštanje krunica je uslovljeno ugradnjom implanata.
Prednosti materijala:
- 
- visoka biokompatibilnost;
- neabrazivnost;
- neporoznost;
 
- nezamenljivost estetike;
- izvanredna čvrstoća;
- odsustvo metala;
- dugotrajnost.
 

Inlay, onlay i overlay
Inlay, onlay i overlay (inlej, onlej i overlej) takođe spadaju u fiksnu stomatološku protetiku i služe za rekonstrukciju krune zuba.
Poznato je da karijesne lezije stvaraju oštećenja na zubima. Posle uklanjanja karijesa, na tom mestu nastaje prostor koji se naziva kavitet. Kada nedostaje deo zubnog tkiva, on se može nadoknaditi kompozitnim ispunom ili keramičkim inlay-om ili onlay-om.
Razlika između ove dve nadoknade je u načinu primene i veličini zubnog tkiva koje treba nadomestiti.
Kada se pokriva cela grizna površina zuba, potreban je ispun u vidu onlay-a. Ukoliko je ispun manji i ne pokriva celu žvakaću površinu, naziva se inlay.
Tehnologija izrade inlay-a u zubnoj tehnici je vrlo slična izradi navlaka (kruna) za zube. Inlay se formira uzimanjem otiska tako da savršeno odgovara nastalom kavitetu. Zatim se specijalnim cementom lepi za zub.
Ova protetska nadoknada se izrađuje od keramike, kompozita ili zlata. Većina pacijenata se odlučuje za keramički inlay, najviše zbog odličnog odnosa kvaliteta i cene, odnosno ekonomičnosti.
Boja keramičkog inlay-a se podešava da bude identična koloritu prirodnog zuba. Ovaj tip nadoknade s vremenom ne menja boju i predstavlja dugotrajnije rešenje od plombi. Za izradu inleja, potrebna je saradnja specijaliste stomatološke protetike sa zubotehničkom laboratorijom.
Keramički inlay je veoma otporan na frakturu, odlično podnosi pritisak i 20–30 godina ne zahteva restauraciju.

Keramičke fasete (viniri, ljuspice)
Stavljanjem faseta, lako se mogu popraviti mnogi estetski nedostaci na zubima. Fasetama ili vinirima se koriguje boja i oblik zuba, razna oštećenja gleđi, zatvaranje dijasteme (razmaka) između prednjih zuba, manji defekti i vidljive plombe. Fasete su tanke ljuspice, debljine 0,3–1,3 mm, koje se postavljaju uglavnom na prednje zube. Mogu biti izrađene od kompozitnog materijala, keramike ili cirkonijuma. U zavisnosti od materijala izrade, razlikuje se tehnika postavljanja, trajnost i cena fasete.
Fasete od kompozitnog materijala se postavljaju direktno u ustima pacijenta, dok se one od keramike i cirkonijuma izrađuju u stomatološkim laboratorijama.
Keramičke fasete su daleko trajnije, dok se kompozitne moraju menjati na nekoliko godina. Takođe, postoji rizik od pucanja keramike. U tom se slučaju mora izraditi nova faseta.
Glavni razlog zbog kog se pacijenti češće odlučuju za keramičke fasete nego za keramičke krunice je taj što se zubi manje bruše i što se oštećuje samo spoljna površina zuba.

NO-PREP viniri
NO-PREP viniri (eng. no preparation, bez pripreme) predstavljaju ljuspice koje se ugrađuju bez prethodnog brušenja zuba.
Ovi viniri se direkno lepe za zub koji je detaljno očišćen i tretiran naročitim preparatima.
Ova metoda je bezbolna, pacijent ne oseća nikakvu nelagodnost, a ovako zalepljeni viniri mogu trajati i do 10 godina.
Stomatološka protetika i zubni implanti
Zubni implanti su titanijumski ili cirkonijumski šrafovi, koji se ugrađuju u viličnu kost i s vremenom srastaju sa njom.
Kada se završi proces srastanja (osteointegracija), krunica se postavlja na abatment (deo koji spaja krunicu sa implatantom). Na taj način se postiže prirodan izgled vilica i njihova potpuna funkcionalnost.
To znači da pacijenti u kojih je izveden implantološki zahvat žvaću hranu, govore i smeju se kao kad su imali svoje zube.
Zubni implanti su titanijumski ili cirkonijumski šrafovi, koji se ugrađuju u viličnu kost i s vremenom srastaju sa njom.
Kada se završi proces srastanja (osteointegracija), krunica se postavlja na abatment (deo koji spaja krunicu sa implatantom). Na taj način se postiže prirodan izgled vilica i njihova potpuna funkcionalnost.
To znači da pacijenti u kojih je izveden implantološki zahvat žvaću hranu, govore i smeju se kao kad su imali svoje zube.
Mostovi
Ukoliko pacijentu nedostaje više zuba, preporučuje se izrada mosta. Dentalni mostovi se vezuju za postojeće, brušene zube i premošćuju bezube delove vilica.
Ova vrsta nadoknade se postavlja na dva ili više zdravih zuba, ukoliko su u mogućnosti da podrže most.
Prednost zubnih implanata u odnosu na mostove ogleda se u tome što pri ugradnji implanta nema potrebe za brušenjem susednih, zdravih zuba.
Mobilna protetika
Mobilna protetika označava pokretne (nefiksirane) protetske nadoknade, koje pacijent može sam skidati i prati.
U ovaj tip nadoknada spadaju:
- 
- klasične akrilatne totalne i parcijalne proteze;
- proteze na implantima;
- valplast proteze.
 
 
Klasične akrilatne totalne i parcijalne proteze
Ovaj tip proteze je jedna od povoljnijih zubnih nadoknada, koje se koriste u pacijenata delimično ili potpuno bezubih. Uz pomoć njih se, na jednostavan i ekonomičan način, postiže očuvanje funkcionalnosti vilica i lepota osmeha. Jedini nedostatak im je što zahtevaju duži period adaptacije, koji je uslovljen njihovom relativnom glomaznošću.
Na osnovu individualnog otiska uzetog u ordinaciji i bez prethodne pripreme (brušenja) preostalih zuba, prave se od akrilata u ružičastoj boji.
Pri izradi parcijalne akrilatne proteze, sprovodi se nekoliko proba, a boja veštačkih zuba se usklađuje sa koloritom zuba pacijenta.
Parcijalne akrilatne proteze se pomoću naročitih metalnih kukica fiksiraju za susedne zube, dok totalne čvrsto prianjaju uz vilicu zahvaljujući stvaranju vakuuma između proteze i alveola.
Skeletirane proteze
Skeletirane (vizil) proteze ili proteze sa metalnim skeletom predstavljaju unapređenje u odnosu na klasične akrilatne proteze zato što metalni skelet bolje i preciznije prianja uz meka tkiva.

Ove proteze se koriste u slučaju nedostatka bočnih zuba u vilici , tj. nemogućnosti izrade mosta.
Pored navedenih prednosti, dugotrajnije su kao protetske nadoknade i ekonomičnije od implantata.
Proteze na implantima
Ako se pacijent suočava sa nedostatkom svih zuba u jednoj ili drugoj vilici, ekonomično rešenje su totalne proteze koje se postavljaju na implante.
Proteze na implantima su poznate pod nazivom all-on-4 jer podrazumevaju ugradnju četiri implanta u bezubu vilicu.

Proteza na implantima funkcioniše po sistemu drikera. To znači da se na implante najpre stavljaju lokatori, a potom se fiksira proteza, koja savršeno na njih naleže.
Proteza na implantima je fiksirana i pruža veću udobnost prilikom govora i žvakanja od klasične, mobilne proteze. Zbog toga se smatra praktičnijom i sigurnijom.
Valplast proteze
Ukoliko iz nekog razloga nije moguće postaviti implante ili mostove, najbolje rešenje je mobilna totalna proteza, valplast.
Ova fleksibilna silikonska proteza je visoko prilagodljiva i dugotrajna. Izrađuje se od biokompatibilnog, termoplastičnog silikonskog materijala, koji je hipoalergijski i koji reaguje na telesnu temperaturu. To ga čini prilagodljivijim vilicama.
Ove proteze su manjih dimenzija u odnosu na klasične, ali to nije izvor problema u njihovom svakodnevnom korišćenju. Naprotiv, sa valplastom nema nikakvih smetnji u govoru i žvakanju.


