Stomatološku kliniku Dr Veselinović čini tim posvećenih, marljivih i pasioniranih profesionalaca, edukovanih za rad u različitim područjima stomatologije.
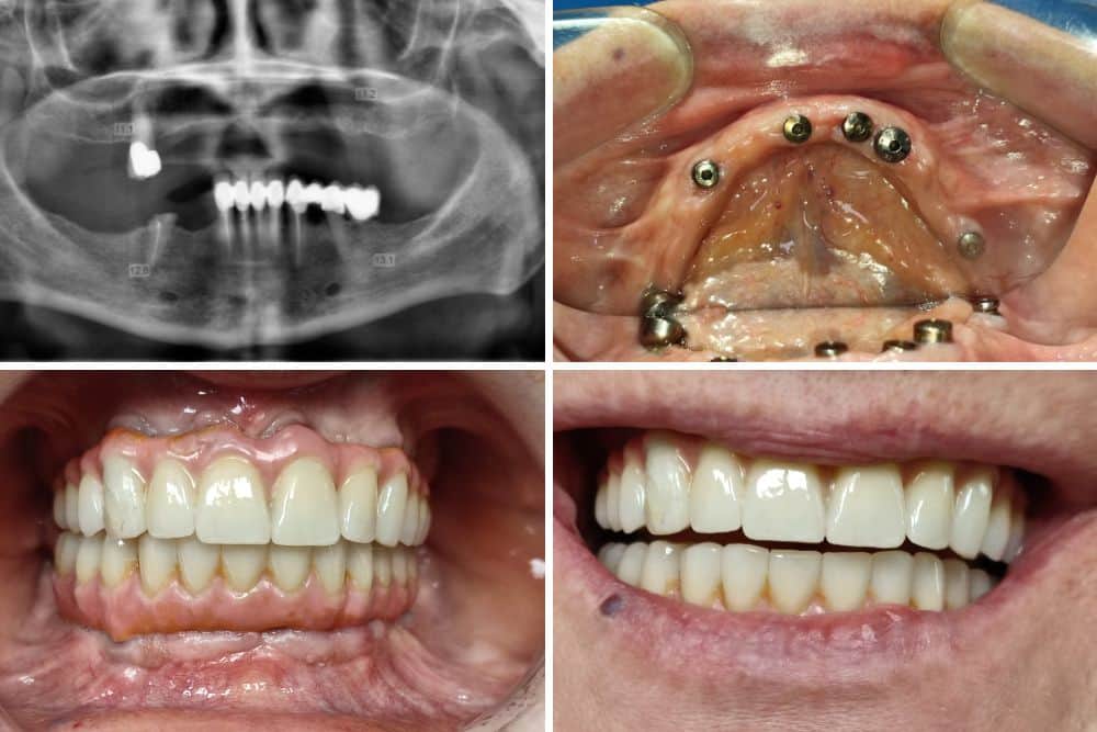
All on 6 /ol on siks/ odomaćen je engleski naziv čiji bi prijevod glasio „svi zubi na 6 implanata“. Njime se, dakle, označava fiksni protetski rad postavljen na šest implanata ugrađenih u potpuno bezubu vilicu.
Postupak all on 6se može primjenjivati kako u gornjoj, tako i donjoj vilici i idealan je za rješavanje problema totalne krezubosti.
Pacijent Stomatološke klinike Dr Veselinović
Ipak, danas su dostupne mnoge protetske mogućnosti, a koja će biti odabrana zavisi od stanja vilica i zuba pacijenta.
Prednosti all on 6 sistema u odnosu na mobilne proteze i proteze na implantima
Napravićemo jedan kratak pregled i hijerarhiju po funkcionalnosti protetskih rješenja.
Mobilne proteze
Kada se pomenu mobilne proteze, odmah se pomisli na tzv. socijalne proteze, koje se prije spavanja potapaju u čašu s vodom i drže pored kreveta. I takva slika direktno asocira na starost i sve tegobe koje ona nosi.
Na svu sreću, dentalna implantologija je toliko napredovala da su ovakve proteze danas samo „nužno zlo“, koje je lako zaobići.
Proteze na implantima
Proteze na implantima su jača alternativa pomenutim konvencionalnim prethodnicima: daleko komfornija, a ipak ekonomična.
Sa protezama na implantima, pacijent se osjeća bezbrižnije i sigurnije jer se one, po sistemu drikera, „kopčaju“ na implante i čvrsto stoje.
Njihova postojanost je daleko viša u odnosu na klasične proteze: ne mogu lako spasti, ali se isto po potrebi mogu skinuti i oprati.
All on 6
U poređenju sa gore navedenim restauracijama, sistemom all on 6 pacijenti su veoma zadovoljni, i to iz više razloga.
Prvo, nema žuljanja i spadanja kao kod mobilne proteze.
Drugo, nema skidanja protetskog rada i vidljivosti implantskih dijelova kao kod proteze na implantima.
Treće, evidentan je osjećaj sigurnosti i udobnosti: zubi su stabilni, neće se pomjeriti ili ispasti pri zagrižajima većeg intenziteta ili tokom govora.
Četvrto, ugradnja implanata je postupak koji rezultira velikim postotkom uspijeha: čak 95 %.
Zbog čega se odlučiti za all on 6?
Iz svega navedenog, jasno je da pacijenti bez ijednog zuba ne treba da budu obeshrabreni. Jer, savremena stomatološka protetika nudi brojne mogućnosti za povratak izgubljene denticije.
Najprije da se pozabavimo uzrocima stanja apsolutne bezubosti…
Zubi mogu biti izgubljeni iz različitih razloga: neliječeni karijes, parodontopatija i druga oboljenja zuba i usne duplje, saobraćajne i sportske povrede, upotreba narkotika, teške bolesti i dr.
Nažalost, mnogi pacijenti se stomatološkoj ordinaciji javljaju kada su se već uveliko oprostili od većine zuba i kada se ne može mnogo toga učiniti u pogledu očuvanja preostalih.
U takvim slučajevima, oni bivaju ekstrakovani za potrebe implantološko-protetskog zahvata jer nisu dovoljno funkcionalni da mogu nositi fiksni rad.
Tada se, kao kompromisni modus (u odnosu na potpunu implantaciju) preporučuje ugradnja šest implanata po vilici.
Zašto baš all on 6?
Sistem all on 6dokazano može podržati fiksni rad od 12 zubnih krunica bez ikakvog rizika od pucanja.
Pacijent Stomatološke klinike Dr Veselinović
U odnosu na njega, all on 4bezbjedno može nositi samo 8 krunica.
SAVJET PLUS: Ukoliko se ikada susrijetnete sa tvrdnjom da 4 implanta bez problema mogu biti nosioci luka od 12 krunica, ne dajte se obmanuti.
Takav postupak bi vas vrlo brzo doveo u nepriliku da se fiksni rad prijelomi i stane vas dosta muka i nepotrebnih izdataka.
To je stoga što sile žvakanja vrše veliki pritisak, te zahtijevaju potporu dovoljnog broja implanata za toliki broj krunica.
Ukoliko u vilicama postoje još 4 zdrava prirodna zuba (po dva sa obije vilične strane), onda oni mogu poslužiti kao podrška sistemu all-on-4 u nošenju 8 krunica.
U svakom slučaju, potrebno je da se isti broj zuba (prirodnih ili vještačkih) nalazi i u antagonističkoj vilici kako bi postojala uzajamnost u funkcionisanju.
Bezubi ste i osjećate se beznadežno? Ne brinite – u sigurnim ste rukama!
Za pacijente bez ijednog zuba u vilicama, sistem all on 6 je dugotrajno najbolja solucija (proteza ih može služiti do 20 godina, a implanti doživotno). Veoma pogodna i isplativa!
Jednakim implantiranjem po tri implanta sa obe vilične strane, sile se ravnomerno rasporijeđuju. Time se osigurava dugoročna stabilnost implanata i trajnost fiksiranih krunica. Uz to, čuva se i zapremina vilične kosti.
A, treba li uopšte govoriti o estetici takvog jednog, podnovljenog i samuvjerenog osmijeha!
Komentari
[…] Pročitajte još i: Šta je all on 6 i da li je to najbolje rješenje za vas? >> […]
[…] Pročitajte još i: Šta je all on 6 i da li je to najbolje rješenje za vas? >> […]
[…] Pročitajte još i: Šta je all on 6 i da li je to najbolje rješenje za vas? >> […]
[…] Pročitajte još i: Šta je all on 6 i da li je to najbolje rješenje za vas? >> […]
[…] Pročitajte još i: Šta je all on 6 i da li je to najbolje rješenje za vas? >> […]
[…] Pročitajte još i: Šta je all on 6 i da li je to najbolje rješenje za vas? >> […]